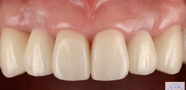
成功率が劇的に向上
マイクロスコープ等の
視野拡大機器を100%使用
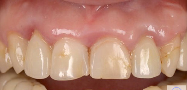
皆さんはマイクロスコープをご存じですか?マイクロスコープは人間の視野を数十倍にも拡大し、高精度の精密治療を可能とする視野拡大の機器です。しかしマイクロスコープは使用が難しく、全国で7万院ある歯科クリニックの内、たった5%ほどしか普及していないのです。当院ではすべての治療に視野拡大機器を使用しています。
- 歯の削る量を「最小限」にできる
- 削る量が少ないので「歯の寿命」が延びる
- 精密な操作が可能で「歯の美しさ」が向上
- 治療後の「再発率」が大幅に低下










































































