日本口腔インプラント学会 専修医 在籍
ICOI(国際インプラント学会)専門医 在籍
インプラント治療の
「匠」が担当します
月額4,200円~も可
- 「睡眠無痛治療」にも対応
- 抜歯当日に歯が入る「抜歯即時荷重」

日本口腔インプラント学会 専修医 在籍
ICOI(国際インプラント学会)専門医 在籍
月額4,200円~も可







当院院長・林丈裕は患者さんの治療だけでなく、多くの歯科医師にインプラント治療を指導している専門家です。「日本口腔インプラント学会 専修医」、「ICOI(国際インプラント学会)専門医」として認定されている他、インプラントの世界的メーカー「ジンヴィ」から認められたインストラクターでもあります。
インプラントに関する著書も数多くあり、国内屈指のエキスパートとして周知されています。
他の歯科医師からの信頼も厚く、多くの歯科医師が「患者」として、当院で治療を受けています。

| 日本大学松戸歯学部 卒業 | |
| 吉樹デンタルクリニック 開院 | |
| 医療法人社団 丈秀会 理事長 |







インプラントを入れるというと、数時間にわたる手術が必要というイメージがあるかもしれません。
しかし、長時間の手術は患者さんの肉体的な負担も大きくなってしまいます。当院では、患者さんの負担の少ない「低侵襲」の治療を心がけています。
手術も可能な限り短時間で終わらせており、1〜3本程度のインプラント埋入であれば、1時間程度で手術は終わります。近隣のオフィスでお仕事をされている方であれば、お昼休みに手術を受けていただくことも可能です。
お気軽にお問い合わせください。

失った歯を人工的に補う場合、「入れ歯」や「ブリッジ」「インプラント」による治療を行います。しかし、入れ歯やブリッジには、噛み心地やメンテナンス、審美的な問題点がある上、食事すら楽しめないという欠点があります。
この一方、インプラントでは、自然歯のような噛み心地を得られ、周囲にある健康な自然歯にまったく負担を掛けません。食事の楽しみを取り戻すこともできます。
このように多数のメリットがあるインプラント治療ですが、デメリットもあります。治療の過程で外科的な手術が必要な点です。歯科診療の中では患者さんの負担が大きいという側面もあります。
当院では、インプラント治療を受けていただく患者さんの負担を軽減するために、以下の取り組みを行っています。

インプラントは、あごの骨に埋め込んだ金属の土台に、「上部構造」と呼ばれる人工歯を装着する治療法です。この人工歯は、「歯科技工士」という専門家が作製します。当院は、多くの歯科医師から信頼されている一流の歯科技工士、有限会社ファイン代表取締役・上原芳樹氏に人工歯制作を依頼しています。


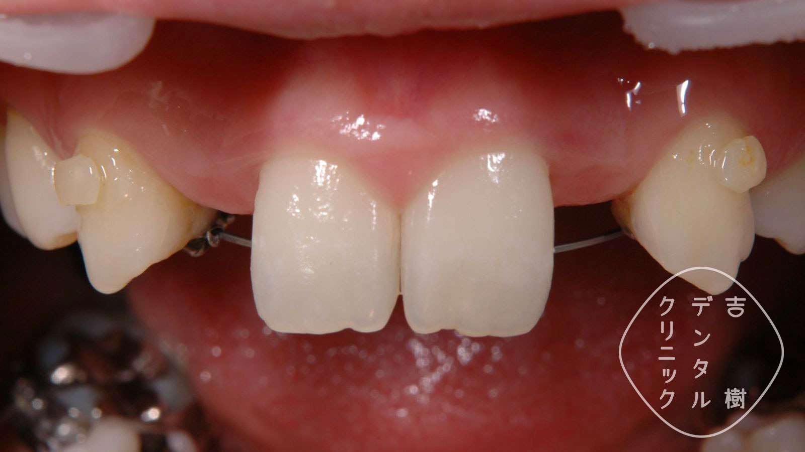
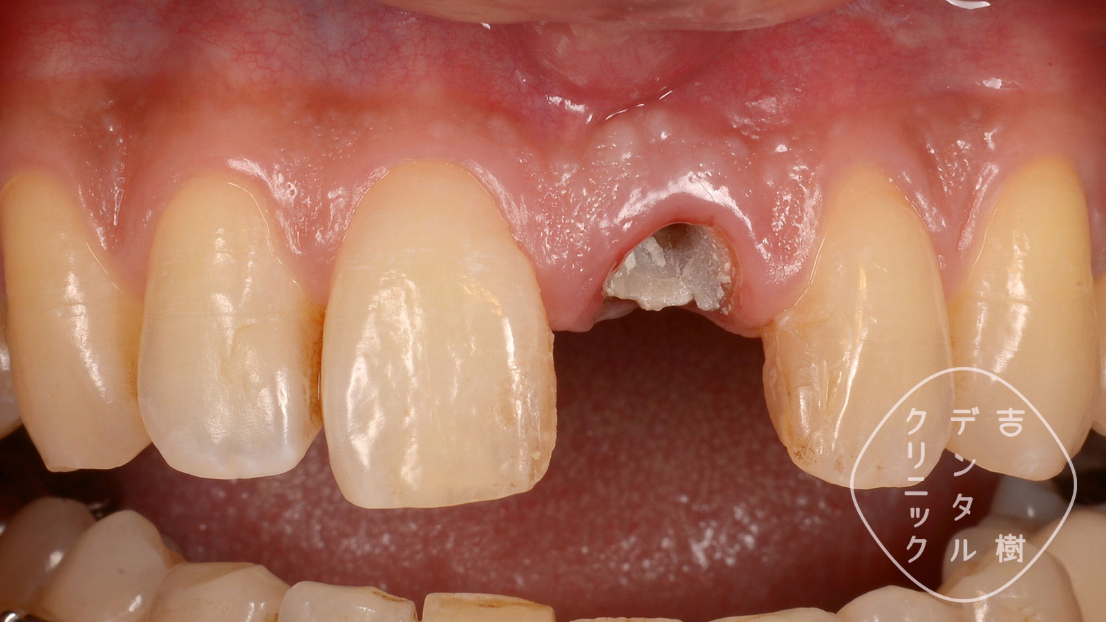
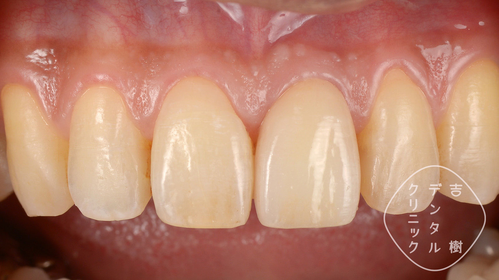
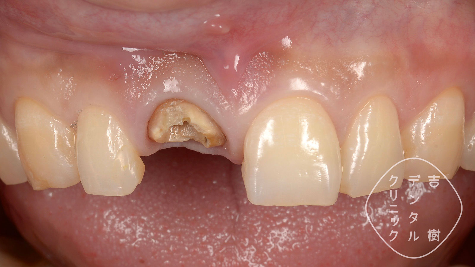
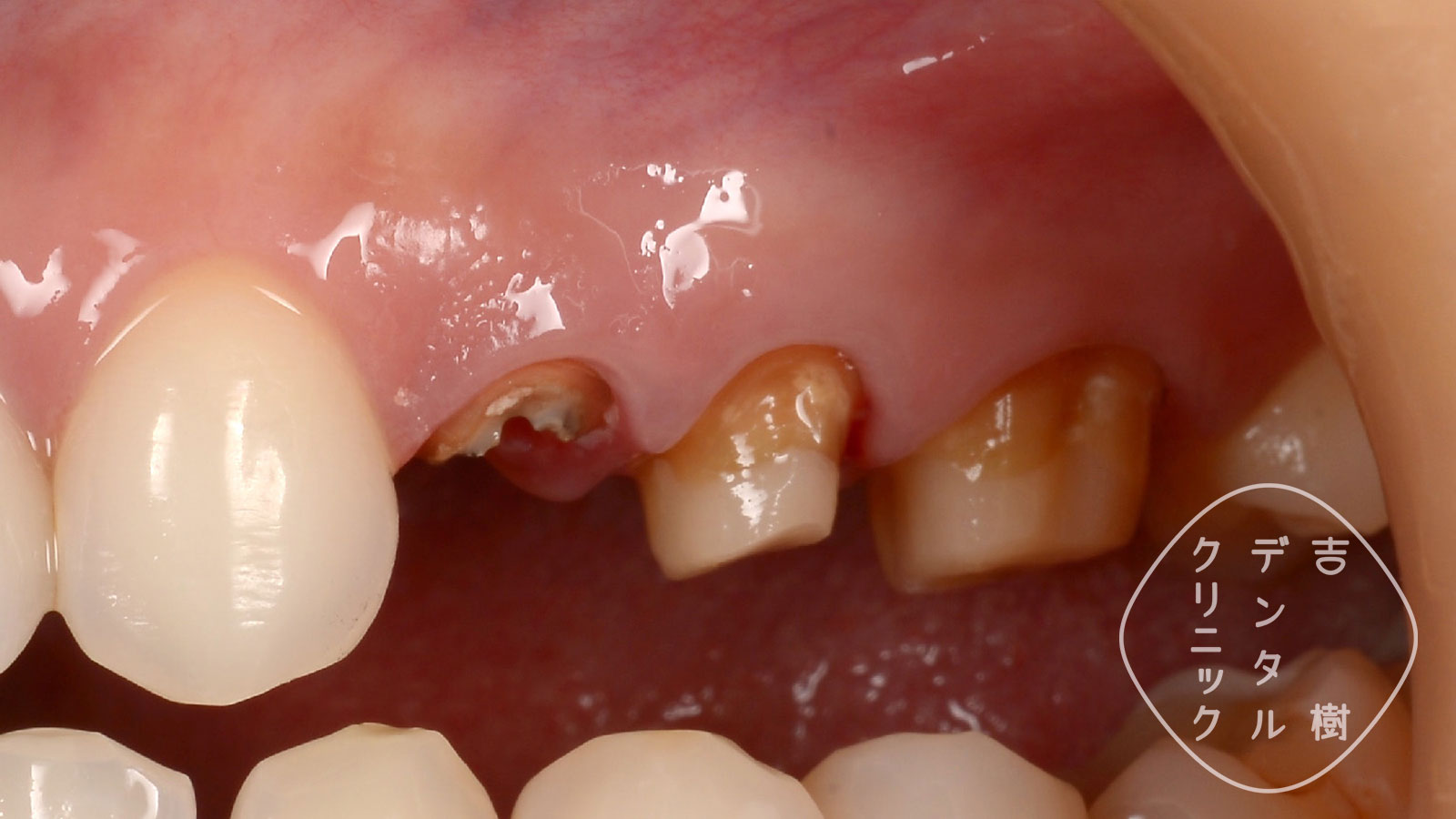
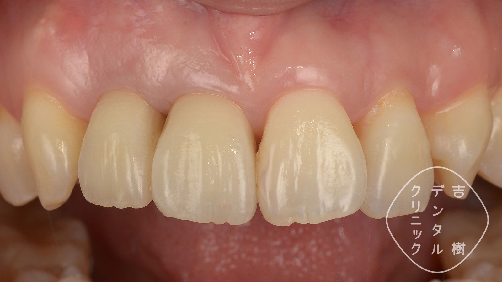
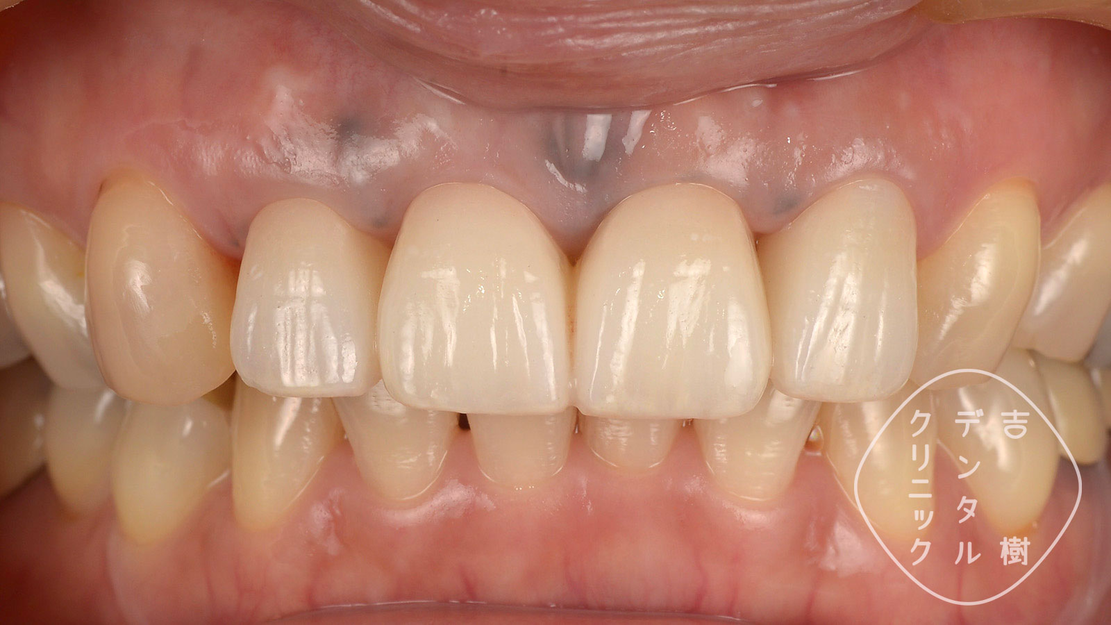
当院で入れたインプラントの症例をご覧ください。歯の色や形、歯並びが、他の歯と美しく調和している様子がお分かりいただけると思います。












当院では、治療の安心・安全を担保すべく、数多くの精密機器を導入しています。以下では、それぞれの機器について詳しくご紹介します。

インプラント治療では、あごの骨に金属の土台を埋め込みます。あごの骨の中には神経や血管が通っており、これらの損傷を回避した外科治療を行うには、患者さんひとりひとりによって異なる神経や血管の位置を正確に把握しなければなりません。

CTによる撮影で得られた立体画像を、コンピュータのシミュレーションソフトによってインプラント手術のプラン作成に使用します。
CTで撮影したお口のデータをもとに、インプラントの長さや角度、深さをシミュレーションソフトで導き出すのです。

シミュレーションソフトが導き出したデータから、「サージカルガイド」を作成します。サージカルガイドは、穴の開いたマウスピースのような形状の手術サポート装置です。手術の際は患者さんのお口にサージカルガイドを装着し、サージカルガイドの穴に合わせてインプラントを埋入していきます。これにより、シミュレーション通りの位置、深さ、角度でインプラントを入れられます。人為的なミスを徹底的に排除した安全なインプラント埋入手術が実現できます。

インプラント治療をするための「あごの骨の厚みや量が足りない」などの場合があります。こうしたケースでは、骨の厚みや量を増やす「骨造成」という治療が必要になります。骨造成で活躍するのが「ピエゾサージェリー」です。骨造成の課程で骨を切開する際、ピエゾサージェリーは骨などの「硬い組織のみ」に反応するため、歯茎や血管を傷つけずに治療ができます。

インプラント治療は、金属製の土台(インプラント)をあごの骨に埋め込みます。あごの骨とインプラントが結合することにより人工歯が固定されるのですが、骨とインプラントが結合するまでは時間がかかることがあります。
当院では、「プラズマ照射器」という機器を使って、骨とインプラントが結合するまでの時間を早めています。
インプラントにプラズマを照射すると、インプラント表面の炭化水素膜が除去され、結合が促進されるという仕組みです。治療期間が短くなり、患者さんの肉体的負担も軽減されるというメリットがあります。

「CGF」という治療で使用する、遠心分離機です。患者さんから採取した血液をこの装置で処理することで、「フィブリンゲル(血液凝固に関わるたんぱく質)」が生成されます。骨造成治療の際に使用することで、骨の再生が促進されます。患者さんご自身の血液を使った治療法なので、拒絶反応や感染などのリスクを軽減できるのが、CGFの大きな特徴です。
CGFは、厚生労働省の許可を得た歯科医院のみが行える治療です。当院は、この治療法をいち早く導入し、インプラント治療期間の短縮に取り組んできました。

インプラント治療には、外科手術が必ず必要です。患者さんの中には外科手術に抵抗がある方もいらっしゃいます。さらに「そもそも歯医者が苦手」という方には、さらに大きなストレスをもたらします。
こうした患者さんには「睡眠無痛治療(静脈内鎮静法)」をお勧めしています。鎮静剤を点滴することで、患者さんは一定時間、眠ったような状態になります。この時間内に治療を行うことで、患者さんは恐怖やストレスを感じること無く、手術を受けられます。

インプラント治療は通常、歯肉を切開して行われます。どのような外科治療でも、治療後に痛みや腫れの症状が出るのは当然のことです。しかし、あまり知られていませんが、これを防ぐための治療法があります。
「フラップレスインプラント」では、「切らない/縫わない/腫れない」を実現できるのです。
※ケースによっては歯肉を切開することもあります。
メスを使わずに「歯肉パンチ」と呼ばれる器具で歯肉に小さな穴を開け、インプラントを埋入します。メスによる切開がないため、術後の痛みや腫れ、出血のリスクが極限まで抑えられます。さらに、治療後の縫合や抜糸も不要、腫れることもほとんどありません。
一般的な術式 ![]() | フラップレス ![]() | |
|---|---|---|
歯茎の切開 | 必要 | 不要 |
処置後の縫合 | 必要 | 不要 |
痛み | ある | 少ない |
腫れ | ある | 少ない |
処置時間 | 比較的長い | 10分程度 |

インプラント治療では通常、抜歯した後の傷口が治り、骨が安定してからインプラントを入れます。しかし、患者さんにとっては数ヶ月の「歯がない」期間は食事に気を遣うなどの不便を強いられます。この長い「歯がない」状態を解消するのが「抜歯即時荷重」インプラントです。この術式では、歯を抜いた当日に新しい歯を入れます。
抜歯後に空いた穴にインプラントを入れるので、「骨の造成が不要」「歯茎の切開が不要」というメリットがあります。見た目の不安や治療期間の短縮、食事中のストレス低減に効果があるのです。
・数ヶ月かかる「骨造成」が不要
・歯茎を切開しないので腫れや痛みが低減
・治療期間を短縮できる
・歯がない期間をなくせる
ただし、適応症例が限られるというデメリットもあります。


インプラントのメーカーは、国内外合わせて150~200社も存在すると言われています。当院は、歯科医師から高い評価を受けている「ジンヴィ」「ストローマン」「カムログ」などのインプラントを使用しています。
インプラントは長い年数を使い続ける想定で埋入します。できれば生涯、使い続けてほしいと思います。そのためにも、多くの歯科医師から信頼を集めているメーカーの製品を使うことをお勧めしています。

かつて「ジンマー・バイオメット・デンタル」という社名で知られていたインプラントメーカーで、アメリカではトップシェアを誇ります。骨量が少ないなどの状態にも有効とされています。また、インプラント表面を「ハイドロキシアパタイト」でコーティングして、骨との結合を促進、治療期間短縮が期待できます。

世界シェアトップのインプラントメーカーです。インプラント体が比較的小さいため、日本人に適していると言われています。また、ストローマン社のインプラント手術の成功率は約97%、残存率が約98%(スイス・ベルン大学 臨床研究結果)と、高い安全性とともに長寿命が期待できます。

ドイツでトップシェアを誇るインプラントメーカーです。ヨーロッパ、アメリカ、アジアなど、各国で広く使用されています。インプラント体と人工歯の連結部分が非常に安定しています。したがって噛み合わせの悪化予防に優れています。

当院のインプラントは、インプラント体(あご骨に埋める土台)と、人工歯のそれぞれに、5年保証が付いています。
ただし、保証には、定期的なメンテナンスに来ていただくなどの条件があります。詳しくは、お問い合わせください。
当院では、患者さんが抱えていらっしゃるお口のお悩みや疑問・不安などにお応えする機会を設けております。どんなことでも構いませんので、私たちにお話ししていただけたらと思います。
ご興味がある方は下記からお問い合わせください。

〒105-0004
東京都港区新橋4-27-4 新橋吉樹ビル1F
「新橋」駅より徒歩4分
以下の駅からも徒歩でご来院いただけます