セラミック矯正

吉樹デンタルクリニック
キービジュアル

わずか数回来院
しい歯並びが
セラミック矯正

1本8.5万円

画像
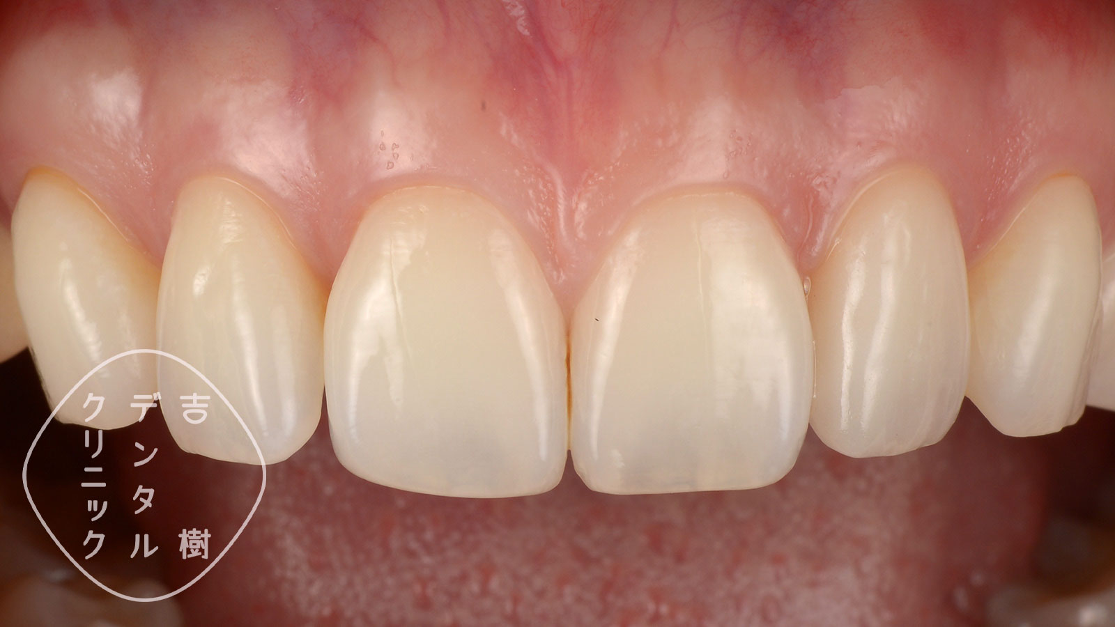
  • 治療前
  • 治療後

ラミネートベニアによるセラミック矯正で、上あごの前歯6本を整えたケース。

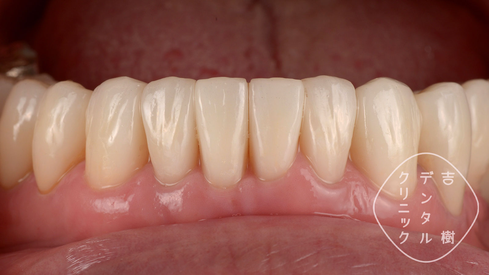
  • 治療前
  • 治療後

ラミネートベニアによるセラミック矯正で、下あご前歯部を整えたケース。

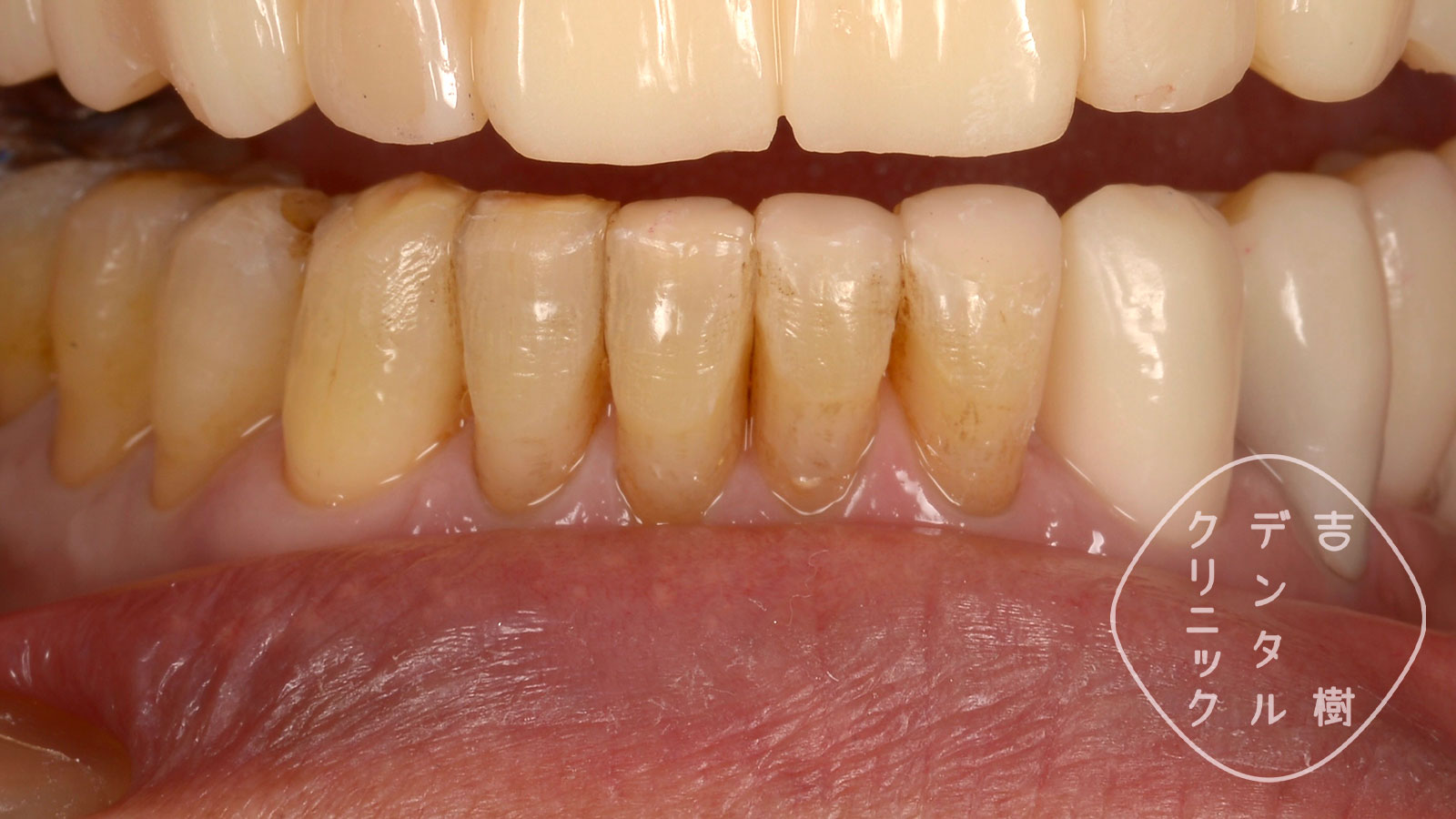
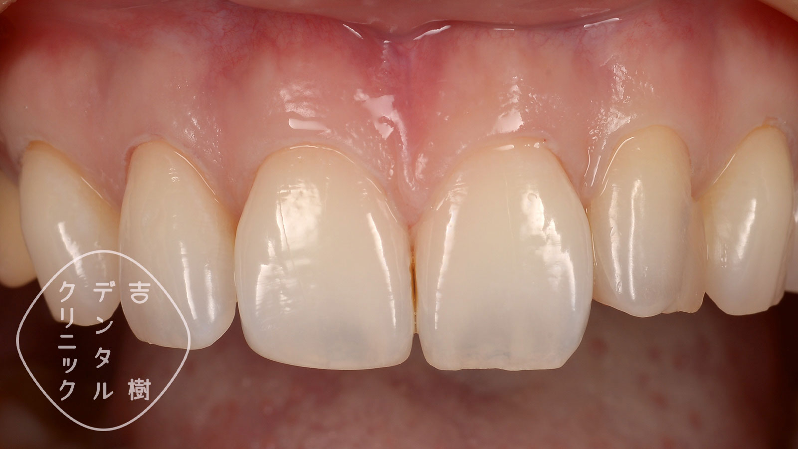
  • 治療前
  • 治療後

ラミネートベニアによるセラミック矯正で、左側側切歯を整えたケース。

「セラミック矯正」とは?

画像

一般的には、歯の色や形を美しく整える治療は「セラミック治療」が、歯並びを美しく整える治療は「矯正治療」が知られています。

当院で行っている「セラミック矯正」は、これらをミックスした治療法で、セラミックの被せ物で歯の色や形を美しくするだけでなく、歯並びまで整えていきます

まだ「セラミック矯正」という言葉は聞き慣れないかもしれません。実際、当院にいらっしゃる患者さんにも、「『セラミック矯正』と一般的な『矯正治療」はどう違うの?」とよく尋ねられます。

それぞれの違いについて、下の表にまとめました。

一般的な「矯正治療」と「セラミック矯正」の違い

治療期間

治療法

その他

一般的な矯正治療

画像

2〜3年

矯正装置

・抜歯が必要なことがある
・歯並びが後戻りすることがある

セラミック矯正

画像

1〜3回程度の来院

セラミックの被せ物

・抜歯は不要
・歯の色/形も調整できる
・歯を削る必要がある

一番の違いは、治療期間ですね。通常は2〜3年かかる矯正治療に比べ、セラミック矯正ではわずか数回の来院で歯並びを整えることができます。ここに注目すると、セラミック矯正の方が良いと感じる方も多いと思います。しかし、デメリットもあります。

それは、「健康な歯を削る」ということです。セラミックの被せ物を歯に取り付けるためには、どうしても歯を削る必要があります。

しかし、当院では、対応できる症例において、歯を削らない、削る量を最小限にする「ノンプレップラミネートベニア」という治療法を用意しています。

以下、詳しくご紹介します。

歯を削る量を抑えた「ノンプレップラミネートベニア」

ラミネートベニア」は、薄いセラミックを歯の表面に貼り付けて、歯の形を美しく改善する治療法です。一般的なラミネートベニアでは、下の図のように、装着するセラミックの形に合わせて歯を削る必要があります。

画像
画像

これに対して「ノンプレップラミネートベニア」では、歯の形に合わせてラミネートベニアを作成するので、歯を削らずに歯の形を整えることができます

一般的なノンプレップラミネートベニアでは、セラミックの厚みの分だけ歯が大きくなってしまうことがありますが、当院では優秀な歯科技工士と連携することにより、審美的にも優れたノンプレップラミネートベニアを提供しています。

世界が認める「匠」の歯科技工士との連携

セラミックの被せ物などの人工歯は、「歯科技工士」という資格を持つ専門家が作製します。高精度の被せ物を作製するには、優秀な歯科技工士の存在が不可欠です。

当院の人工歯は、多くの歯科医師から信頼されている経験豊富な歯科技工士、有限会社ファイン代表取締役・上原芳樹氏に制作を依頼しています。安心してお任せください。

歯科技工士・上原 芳樹 氏

歯科技工士・上原 芳樹 氏
著書/論文など
  • 「Exzellente Dentale Asthetik」 Quintessenz Zahntechnik   Januar / 2004・April / 2004
  • 「イミディエートインプラントロジー」 林揚春・武田孝之 編著/共著 2007 ゼニス出版
  • 「スプラインインプラントシステム臨床マニュアル」共著 2007 クインテッセンス出版
  • 前歯部インプラント審美補綴のための技工実践講座 「プロビジョナル レストレーションの有効活用」 ゼニス出版
  • 「多数歯抜歯即時埋入インプラントの臨床」 林揚春共著 2007 ゼニス出版
  • 前歯部インプラントの埋入ポジションと補綴形態 「生体との調和と審美性の共存」 2007 ゼニス出版 
  • 「QDT」別冊「システム別にみるCAD/CAM・オールセラミック修復 圧成形型セラミックス Empress/Empress 2」
  • 「歯科技工」別冊「Chairside & Laboside ラミネートベニアテクニック」・オールセラミックスシステム(IPS Empress)を用いたラミネートベニア修復 南昌宏 共著
  • 「デンタルカラーマネージメント 十人十色」デンタルダイヤモンド社
  • 臨床コラム「臨床にデジタル画像を活用しよう/デジタル画像を技工物に活かす」
  • ヒョーロン月刊誌「日本歯科評論」 2003年4月号
画像

セラミック矯正は、こんな方にお勧めしています

画像

セラミック矯正と、一般的な矯正里長の違いがお分かりいただけたと思います。セラミック矯正は、次のような方にお勧めしています。

・結婚式などのイベントが控えており、短期間で歯並びを整えたい方
・矯正装置を装着するのに抵抗がある方
・歯の白さ、歯の形までまとめて改善したい方
・気になる部分をピンポイントで整えたい方

患者さんのご希望に合わせた治療法を提案させていただきますので、ぜひお気軽にご相談ください。

初診「個別」相談へのご案内

当院では、患者さんが抱えていらっしゃるお口のお悩みや疑問・不安などにお応えする機会を設けております。どんなことでも構いませんので、私たちにお話ししていただけたらと思います。
ご興味がある方は下記からお問い合わせください。

〒105-0004
東京都港区新橋4-27-4 新橋吉樹ビル1F

「新橋」駅より徒歩4分

以下の駅からも徒歩でご来院いただけます

  • ・都営三田線「内幸町」駅 徒歩5分
  • ・都営三田線「御成門」駅 徒歩5分
  • ・都営大江戸線「汐留」駅 徒歩5分