歯が割れてしまったら、
当院にご相談ください
- ダイレクトボンディング
- エクストルージョン
- 歯冠延長手術
セカンドオピニオンにも対応しています。
お気軽にご相談ください。

セカンドオピニオンにも対応しています。
お気軽にご相談ください。

歯を強くぶつけてしまったなどに、歯が折れてしまうことがあります。歯茎から外に出ている白い部分が折れてしまうことを、「歯冠破折(しかんはせつ)」といいます。
歯冠破折が起こったら、なるべく早めの受診をお勧めします。折れたところは鋭くとがっていることがあるので、唇や舌などを傷つけてしまうことがあります。また、折れたところは虫歯になりやすいので、早めに処置した方が予後が良くなります。
当院では、「ダイレクトボンディング」という治療法で、歯冠破折を修復できます。歯が折れた当日に修復することも可能です。


破折の当日にダイレクトボンディングで修復したケース。

歯茎が腫れて激しく痛む場合、歯茎の中の歯にヒビが入っていることがあります。つまり、歯が割れている状態です。この状態を、「歯根破折(しこんはせつ)」といいます。
特に、神経を取った歯は要注意です。神経を取った歯は、時間の経過と共にもろくなり、硬いものを食べたときなどに割れてしまうことがあります。眠っている間の歯ぎしりや食いしばりがある方は、歯が割れてしまうリスクがあります。
歯根破折が起きてしまうと、一般的な歯科医院ではまず「抜歯」以外の選択肢はありません。日本人が歯を失う原因の2位は、歯根破折なのだそうです。
しかし、ケースは限られますが、当院では割れてしまった歯を治療できることがあります。
詳しい治療法をご紹介します。

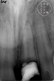
歯が割れてしまった場合、マイクロスコープやCTなどを用いて精密検査を行います。検査の結果、歯の1/3程度の長さの根が残っていれば、治療できる可能性があります。
歯の根が残っていることが分かれば、次のような治療を行います。
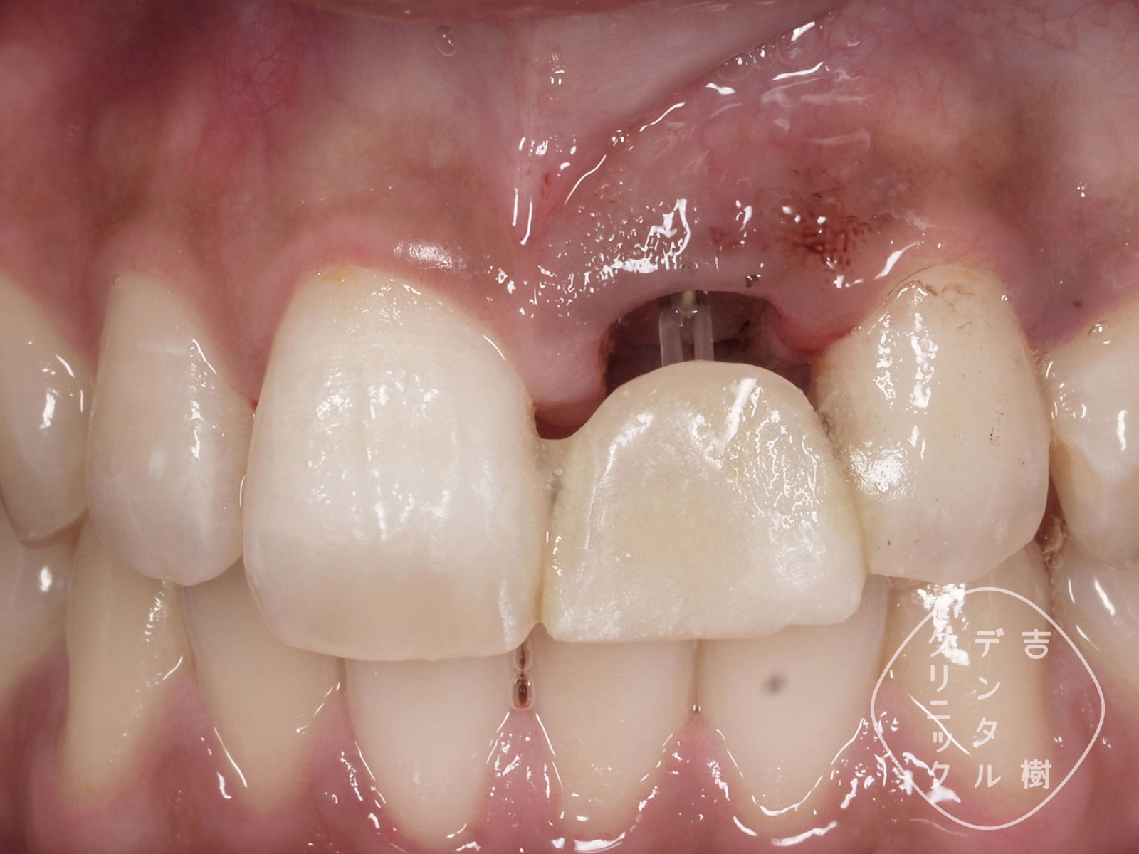
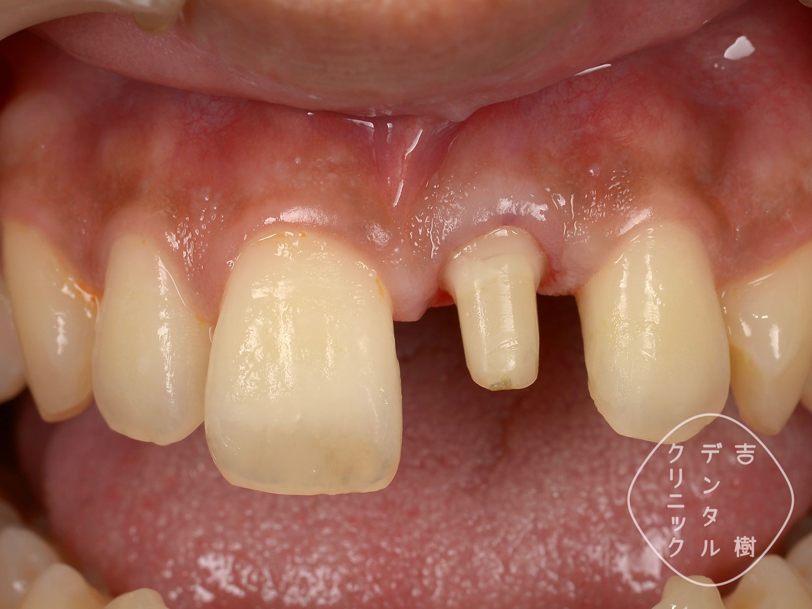
「エクストルージョン」は、矯正治療の一種で、歯茎に埋もれている歯の根を外に引っ張り出す治療法です。必要な長さの根が歯茎の中に残っていれば、エクストルージョンによって歯の根を外側に引き出し、ここに被せ物を装着します。

①虫歯で歯が崩壊し、被せ物を取り付ける場所がない

②歯茎の中に、歯の根が残っているのが目視できる

③エクストルージョンができるだけの歯根が確認できた

④歯の根を外側に引き出す、矯正治療を行う

⑤治療中は、接着材で被せ物を取り付ける

⑥歯の根が外側に引き出されてきた

⑦歯の根に土台を取り付けたところ

⑧被せ物を装着し、治療完了
エクストルージョンは、歯の根を引き出して被せ物を取り付ける治療法でした。これに対して、「クラウンレングスニング」では、外科的に歯肉や骨を切除して歯の根を外に出し、被せ物を取り付けます。
クラウンレングスニングのメリットとして、エクストルージョンに比べて治療期間が短いことがあります。しかし、歯肉や骨を切除するため、この治療が行える歯の場所には制限があります。

①虫歯で崩壊してしまった奥歯

②「歯冠延長手術」で歯肉を切除した

③「歯冠延長手術」で歯肉を切除した

④歯を修復し、土台を作る治療をする

⑤被せ物を装着し、治療完了

冒頭でもご説明したとおり、一般的な歯科医院では「歯根破折」が起こると、ほとんどの場合に抜歯となります。
抜歯となると、その後は「入れ歯」や「ブリッジ」「インプラント」などの治療に進みますが、これらの治療法は決して患者さんの負担が小さくありません。やはり、可能な限り「抜歯」は最後の選択肢であるべきです。歯根破折と診断され、抜歯を宣告された場合、歯を救う方法は他にないのか、よく確認されることをお勧めします。
このページで紹介したエクストルージョンやクラウンレングスニングなどの治療法は、どこの歯科医院でも受けられる治療ではありません。当院はセカンドオピニオンにも対応しています。歯根破折で抜歯を宣告された方、歯を残す方法をお探しの方は、ぜひ当院にご相談ください。
当院では、患者さんが抱えていらっしゃるお口のお悩みや疑問・不安などにお応えする機会を設けております。どんなことでも構いませんので、私たちにお話ししていただけたらと思います。
ご興味がある方は下記からお問い合わせください。

〒105-0004
東京都港区新橋4-27-4 新橋吉樹ビル1F
「新橋」駅より徒歩4分
以下の駅からも徒歩でご来院いただけます