入れ歯/義歯

吉樹デンタルクリニック
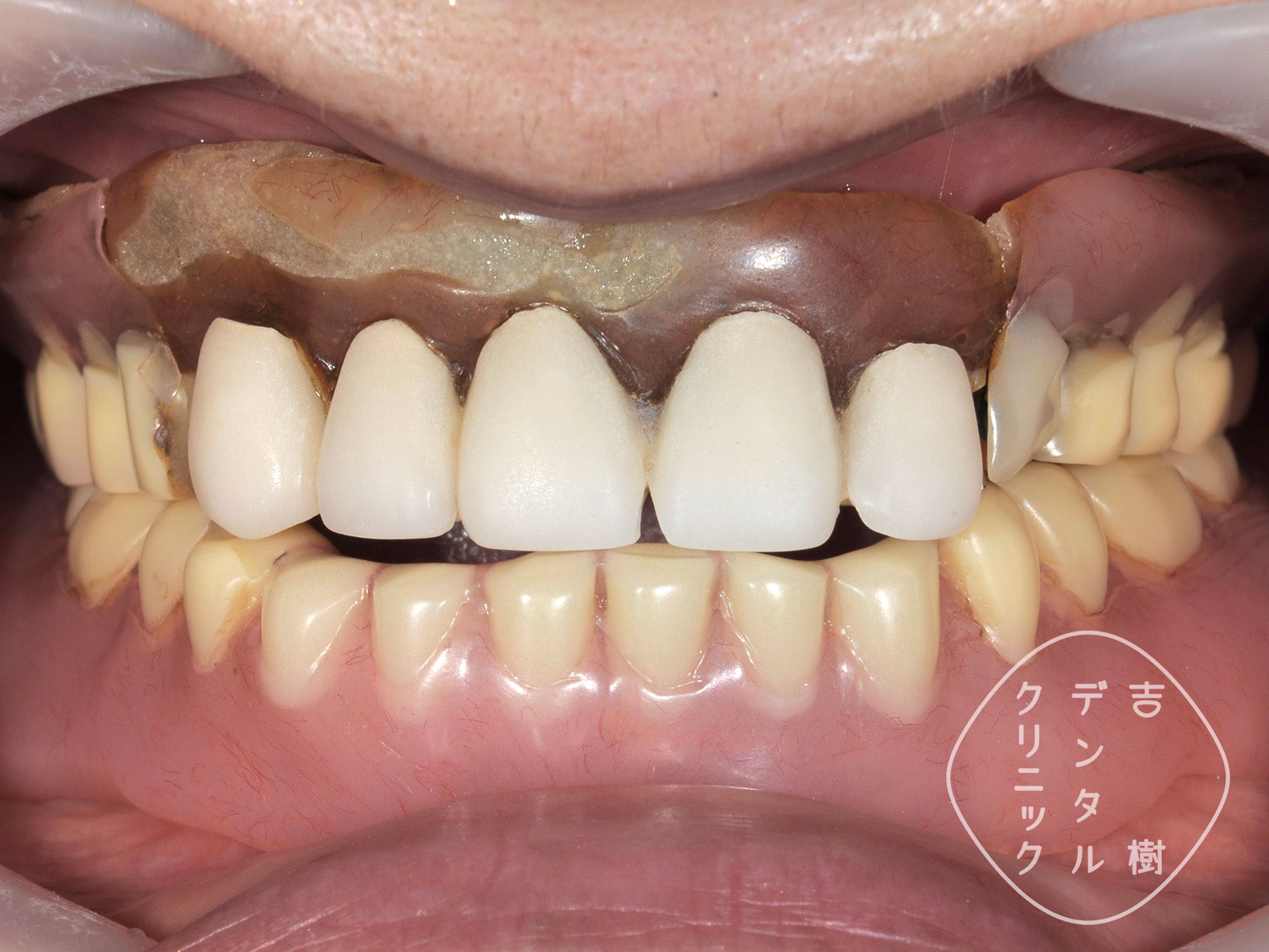
キービジュアル

当院
リンゴ丸かじり」もできます

こんなお悩みを解決します!

  • 強烈な異物感があり、気持ちが悪くなる
  • まともに噛めない、食事が食べられない
  • すぐに外れてしまい、会話もできない
  • 金属のバネが目立ってしまう
  • 治療前
  • 治療後

上あごの総入れ歯をインプラントオーバーデンチャーに置き換えた症例。4本のインプラントで入れ歯を固定している。

  • 治療前
  • 治療後

上あごにインプラントオーバーデンチャーを入れた症例。2本のインプラントと、2本の天然歯で入れ歯を固定している。下あごの奥歯には、インプラントを入れた。

入れ歯のお悩み、解決します!

画像

入れ歯を使っている患者さんは、以下のような深いお悩みをお持ちです。

・異物感があり、吐きたくなる
・ものを噛むだけで痛い。食事する気にならない
・人前で外れるのが耐えられない
・金属のバネが目立つため、お口を開けたくない

こうしたお悩みの原因は、入れ歯がお口に合っていないためです。

画像

保険診療の入れ歯は、その制作工程上、そもそもお口にフィットするようには作られていません。

普段の生活では、お口はさまざまな動きをします。ものを食べるとき、会話をするとき、お口はそれぞれ異なる動きをします。お口にフィットする入れ歯を作るには、これらの動きも計算に入れて設計する必要があります

当院では、経験豊富な歯科技工所と連携し、入れ歯がお口にフィットするようしっかり調整を行います。

入れ歯がお口に合わずお悩みの方は、お気軽にご相談ください。

徹底的に調整し、お口にフィットした入れ歯を作ります

画像

当院の入れ歯は、審美性に優れているだけで無く、しっかり噛める機能性も重視していることが特徴です。

患者さん個々に合う入れ歯なら、ものを食べるとき、お話をするとき、何もしていないときなど、さまざまなシーンでお口の動きに対応できます。
保険診療では、たった1度だけの型取りで入れ歯を作るため、これらの動きについて行けず、ストレスの高い入れ歯になってしまいます。

画像

当院では、「トレーニング義歯」というものを利用して、入れ歯がお口に合うように、段階的に細かく調整を行います。その上で、患者さんに最適な入れ歯を完成させるのです。保険診療の入れ歯と、トレーニング義歯を使った入れ歯は、以下のように作製工程がまったく異なります。

「保険診療」の入れ歯製作
歯型の採取
本義歯の製作
「トレーニング義歯」を使った入れ歯製作
歯型の採取
トレーニング義歯の製作
顎の位置の調整・適切な位置への誘導
トレーニング義歯の調整
本義歯の製作

トレーニング義歯を装着して、しばらく生活していただきます。その後、来院していただき、すり減り具合やヒアリングの中で調整を繰り返します。

フィット感だけでなく、必要に応じて、噛み合わせなども調整します。トレーニング義歯が日常生活の中で完全にフィットしたら、まったく同じ形状で実際の入れ歯を作製します。お食事や会話、笑顔など、幸せな日常生活を取り戻せます。

当院の入れ歯をご紹介します

目立たない入れ歯

画像

部分入れ歯を固定する金属製のバネは、お口を空けるたびに目立ってしまいます。あまりにストレスに感じる患者さんには、金属のバネがない「ノンクラスプ義歯」をお勧めしています。バネ部分が、歯茎に近い色の樹脂でできているため目立ちません。当院では、「バルプラスト」というノンクラスプ義歯を扱っています。

バルプラスト

画像

バルプラスト」は、アメリカで50年以上の歴史を持つ入れ歯です。ナイロンに近い素材でできており、薄くて軽いのが特長です。
また、オプションとして入れ歯の裏面にシリコンを貼り付ければ、さらにお口に密着できます。装着時の違和感、痛みが軽減されるので、ストレス低減に効果があります。

しっかり固定できる入れ歯

食べ物をしっかり噛みたい、会話をしやすくしたいという方には、固定に優れた入れ歯をお勧めしています。当院では、総入れ歯をインプラントで固定する「インプラントオーバーデンチャー」を扱っています。

インプラントオーバーデンチャー

画像

インプラントオーバーデンチャー」とは、歯茎に埋め込んだ2〜4本のインプラントに固定する総入れ歯です。入れ歯がズレることがなくなるため、しっかり噛めるようになります。会話の途中に外れてしまうこともありません。

  • 治療前
  • 治療後

上あごの総入れ歯をインプラントオーバーデンチャーに置き換えた症例。4本のインプラントで入れ歯を固定している。

  • 画像

    上あごに埋め込んだ4本のインプラント。

  • 画像

    インプラントオーバーデンチャー。

  • 治療前
  • 治療後

上あごにインプラントオーバーデンチャーを入れた症例。2本のインプラントと、2本の天然歯で入れ歯を固定している。下あごの奥歯には、インプラントを入れた。

  • 画像

    上あごの天然歯と、2本のインプラントが固定源。

  • 画像

    インプラントオーバーデンチャー。

  • 治療前
  • 治療後

下あごにインプラントオーバーデンチャーを入れた症例。2本のインプラントで入れ歯を固定している。

  • 画像

    下あごに2本のインプラントを入れ、固定源とした。

  • 画像

    入れ歯の裏側の固定装置。

ロケーターデンチャー

ロケーターデンチャー」は、インプラントオーバーデンチャーと同様に、インプラントに固定する入れ歯です。「ロケーター」という器具を土台となる部分にカチッと取り付けて固定します。しっかりと固定されるので、「噛めない」「外れやすい」というお悩みを解消できます。簡単に外せるため、お手入れもスムーズに行えます。

歯を失い時間がたつと、あごの骨が痩せる「骨吸収」という現象が起こり、入れ歯を安定させることが難しくなります。ロケーターデンチャーでは、こうした状態でも入れ歯を安定させやすいのが特徴です。

一流の歯科技工士との連携

画像

入れ歯などの人工歯は、「歯科技工士」という資格を持つ専門家が作製します。歯科技工士ごとに腕が異なるため、職人とも言えるでしょう。高精度の入れ歯を作製するには優秀な歯科技工士の存在が不可欠なのです。

当院の入れ歯は、多くの歯科医師から信頼されている経験豊富な歯科技工士、狩野敦志氏(KLT)に制作を依頼しています。日本有数の入れ歯作成のスペシャリストと呼ばれています。

初診「個別」相談へのご案内

当院では、患者さんが抱えていらっしゃるお口のお悩みや疑問・不安などにお応えする機会を設けております。どんなことでも構いませんので、私たちにお話ししていただけたらと思います。
ご興味がある方は下記からお問い合わせください。

〒105-0004
東京都港区新橋4-27-4 新橋吉樹ビル1F

「新橋」駅より徒歩4分

以下の駅からも徒歩でご来院いただけます

  • ・都営三田線「内幸町」駅 徒歩5分
  • ・都営三田線「御成門」駅 徒歩5分
  • ・都営大江戸線「汐留」駅 徒歩5分